not available se
not available not available not available
www.solunetti.fi
bild

sivusto123
Adenokarcinom, översikt
   
sivusto123
Adenokarcinom, 40x
   
sivusto123
Adenomkarcinom, 100x
   
sivusto123
Adenokarcinom, 400x
   
sivusto123
Keuhko
   

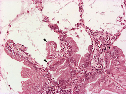
Adenokarcinom

Tumören, som består av körtelepitel, sprider sig längs alveolernas väggar. Här och där ser man papillika strukturer (pilspetsar). Mellan körtelcellerna förekommer inflammatoriska celler.
100x, H&E.

 
 
Accessibility Feedback