Framsida
Allmän patologi
Inflammation
Epiteloidceller och jätteceller
Främmandekropps granulomatös inflamation, 200x B
Allmän patologi
Inflammation
Epiteloidceller och jätteceller
Främmandekropps granulomatös inflamation, 200x B
bild
Lymfknuta, granulomatös inflammation, översikt |
|
Lymfknuta, granulomatös inflammation, 40x |
|
Lymfknuta, granulomatös inflammation, 100x |
|
Lymfknuta, granulomatös inflammation, 200x |
|
Främmandekropps granulomatös inflammation, översikt |
|
Främmandekropps-granulomatös inflammation, 40x |
|
Främmandekropps granulomatös inflammation, 200x A |
|
Främmandekropps granulomatös inflamation, 200x B |
|
Imusolmuke |
|
Iho |
|
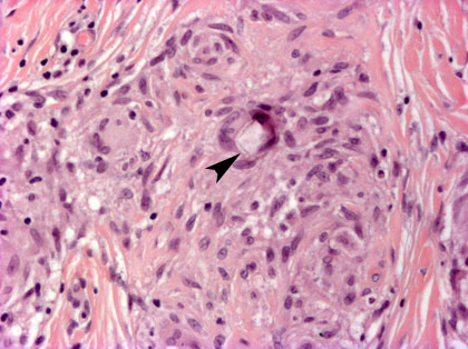
Främmandekropps granulomatös inflamation
I vissa jätteceller ser man kristallint material (pilspets), som syns tydligt i polariserat ljus.
200x, H&E.







