bild
Gallblåsa med kolesterolos, översikt |
|
Gallblåsa med kolesterolos, 40x |
|
Gallblåsa med kolesterolos, 100x |
|
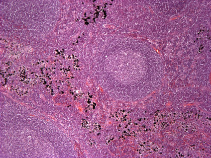
Lymfknuta med antrakos, översikt |
|
Lymfknuta med antrakos, 40x |
|
Lymfknuta med antrakos, 200x |
|
Sappirakko |
|
Imusolmuke |
|
Lymfknuta med antrakos
Stark inlagring av kolpartiklar i lymfknutans makrofager. Resten av lymfknutan är fylld av normala lymfatiska celler.
40x, H&E.







