fi se
not available not available not available
www.solunetti.fi
bild

sivusto123
Kronisk inflammation (sköldkörtel)
   
sivusto123
Kronisk inflammation (sköldkörtel), 20x
   
sivusto123
Kronisk inflammation (sköldkörtel), 40x
   
sivusto123
Kronisk inflammation (sköldkörtel), 400x
   
sivusto123
Hashimotos sjukdom
   
sivusto123
Kilpirauhanen
   

Kronisk inflammation (sköldkörtel), (kilpirauhanen), (thyreoidea)

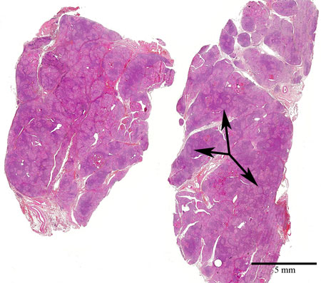
Snitt från sköldkörtel. Pilarna visar på germinala centra. Man antar att det är fråga om en autoimmun sjukdom där lymfocyterna i organismen så småningom förstör sköldkörtelvävnaden. Man talar om Hashimotos sjukdom (Thyreoiditis Hashimoto).
Översikt, H&E.



 
 
Accessibility Feedback