Framsida
Organpatologi
Kvinnliga könsorgan
Neoplasi
Maligna tumörer
Adenokarcinom i livmoderslemhinna
Organpatologi
Kvinnliga könsorgan
Neoplasi
Maligna tumörer
Adenokarcinom i livmoderslemhinna
klass 1
Adenokarcinom i livmoderslemhinna |
|
Adenokarcinom i livmoderslemhinna, 40x, A |
|
Adenokarcinom i livmoderslemhinna, 40x, B |
|
Adenokarcinom i livmoderslemhinna, 100x |
|
Adenokarcinom i livmoderslemhinna, 400x |
|
Kohtu |
|
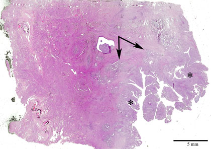
Adenokarcinom i livmoderslemhinna, adenocarcinoma endometrii
Snitt från livmodervägg. Livmoderväggen är förtjockad (*). Tjocka körtelgångar syns. Tumören har invaderat myometrium (pilar). Detta är det viktigaste kriteriet, som skiljer ett differentierat adenokarcinom i livmoderslemhinnan från en atypisk komplex eller s.k. adenomatös hyperplasi.
H&E.






