Levern

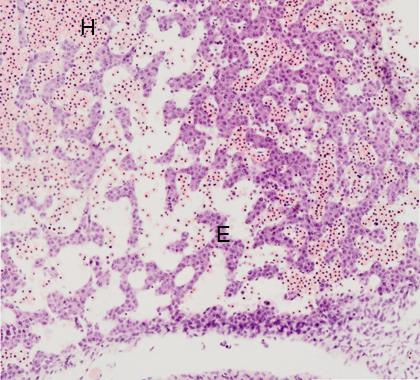
Embryonal lever från kanin. På detta stadium är levern ett viktigt hematopoietiskt (blodbildande) organ.
E = levercellerna (hepatocyterna), som utvecklats ur tarmens endotelceller, bildar leversträngar.
H = i mellanrummet mellan leversträngarna förekommer blodbildande vävnad, som utvecklats ur mesenkymal vävnad. Många olika blodceller bildas här. På embryonalstadiet innehåller de röda blodkropparna kärna. De syns på bilden.







