Framsida
Organpatologi
Njurar och urinvägar
Degenerativa tillstånd
End stage kidney
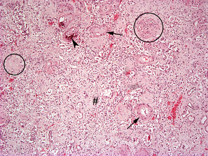
Kronisk njursvikt, 40x
Organpatologi
Njurar och urinvägar
Degenerativa tillstånd
End stage kidney
Kronisk njursvikt, 40x
bild
Kronisk njursvikt, översikt |
|
Kronisk njursvikt, 40x |
|
Kronisk njursvikt, 100x, A |
|
Kronisk njursvikt, 100x, B |
|
Munuainen |
|
Kronisk njursvikt
Njurens struktur är helt förändrad. Glomerulerna har hyaliniserats (ringar), blodkärlens väggar har förtjockats och hyaliniserats (pilar). I interstitium finns tydlig inflammatorisk vävnad. Dessutom förekommer ärr i interstitium (#). Ställvis ser man också förkalkningar (pilspetsar).
40x, H&E.






