Kuva
Poikkileikkauskuva kiveksestä

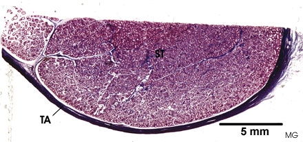
Poikkileikkauskuva ihmisen kiveksestä. Mallory-värjäys.
ST = Siementiehyet
TA = Kiveksen valkokalvo

Poikkileikkauskuva ihmisen kiveksestä. Mallory-värjäys.
ST = Siementiehyet
TA = Kiveksen valkokalvo