Frontpage
Systemic Pathology
Female Genitals
Neoplasm
Benign
Papillary Cystadenoma (Ovary)
Papillary Cystadenoma (Ovary) 40x
Systemic Pathology
Female Genitals
Neoplasm
Benign
Papillary Cystadenoma (Ovary)
Papillary Cystadenoma (Ovary) 40x
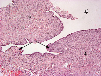
Papillary cystadenoma (cystadenoma serosum papilliferum ovarii) 40x
Kystisen ovariotuumorin osittain näkyvän kystan (#) seinämää verhoaa pääasiassa yksirivinen, lieriömäinen epiteeli. Strooma on tiivis ja fibroottinen (*). Epiteeli ja strooma muodostavat papillaarisia rakenteita (nuolet). Epiteeli on seroosityyppistä ja limavakuoleja ei nähdä. Atypiaa ei tule esille. Näyte on siis benignistä, seröösistä, papillaarisesta kystadenoomasta. Jos epiteeli olisi selvästi monikerroksista, proliferoivaa ja atyyppista, puhuttaisiin semimalignista muutoksesta (borderline), vaikka invaasiota ei nähtäisikään. 40x suurennos, HE-värjäys.





