Etusivu
Elinkohtainen patologia
Korva, nenä, kurkku
Pleomorfinen adenooma
Pleomorfinen adenooma Näyte
Elinkohtainen patologia
Korva, nenä, kurkku
Pleomorfinen adenooma
Pleomorfinen adenooma Näyte
Kuva
Pleomorfinen adenooma Näyte |
|
Pleomorfinen adenooma 40x |
|
Pleomorfinen adenooma 100x |
|
Pleomorfinen adenooma 200x |
|
Sylkirauhanen |
|
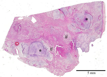
Pleomorfinen adenooma (adenoma pleomorphicum) Näyte
Näytteenä on sylkirauhasen tuumoria, jossa epiteliaalinen solukko muodostaa pieniä tiehyitä ja kystia. Stroomassa on tavallisesti sidekudoslima-ainetta (#) ja rustometaplasiaa (*). Näyte, HE-värjäys.






