Etusivu
Elinkohtainen patologia
Korva, nenä, kurkku
Pleomorfinen adenooma
Pleomorfinen adenooma 200x
Elinkohtainen patologia
Korva, nenä, kurkku
Pleomorfinen adenooma
Pleomorfinen adenooma 200x
Kuva
Pleomorfinen adenooma Näyte |
|
Pleomorfinen adenooma 40x |
|
Pleomorfinen adenooma 100x |
|
Pleomorfinen adenooma 200x |
|
Sylkirauhanen |
|
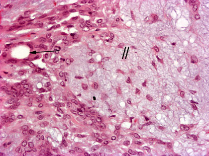
Pleomorfinen adenooma (adenoma pleomorphicum) 200x
Kasvaimessa epiteliaalinen solukko muodostaa pieniä tiehyitä ja kystia (nuoli). Näiden ympärillä on normaalin rauhasen myoepiteelisoluja vastaavaa solukkoa Stroomassa on sidekudoslima-aineita (#, "myxoid"). 200x suurennos, HE-värjäys.






