Etusivu
Elinkohtainen patologia
Ruoansulatuselimet
Tulehdukselliset sairaudet
Krooninen maksatulehdus
Krooninen maksatulehdus 100x B
Elinkohtainen patologia
Ruoansulatuselimet
Tulehdukselliset sairaudet
Krooninen maksatulehdus
Krooninen maksatulehdus 100x B
taso 1
Krooninen maksatulehdus Näyte |
|
Krooninen maksatulehdus 40x |
|
Krooninen maksatulehdus 100x A |
|
Krooninen maksatulehdus 100x B |
|
Krooninen maksatulehdus 100x C |
|
Maksa |
|
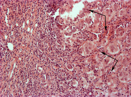
Krooninen maksatulehdus (Hepatitis chronica) 100x
Tulehdussolukko työntyy myös itse maksaparenkyymiin (nuolet). Tyypillistä tulehdusreaktiolle on ns. nakerrus-nekroosi, jossa raja portaalikentän ja maksaparenkyymin välillä on tulehdusreaktion johdosta epätarkka. 100x suurennos, HE-värjäys.





